Before & Afters
There’s nothing better than seeing our patients smile with confidence again. At A&A Dental, we’re proud to help people feel great about their teeth through personalized, gentle care. Take a look at some of the transformations we’ve helped create—you might just find inspiration for your own smile journey.

Real patients, real results
From subtle improvements to dramatic smile makeovers, these before and afters show what’s possible with dentistry designed around you. Whether you're thinking about veneers, implants, or Invisalign, each of these patients once stood where you are now—curious, hopeful, and ready for change.
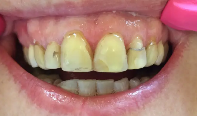
before
.webp)
after

Veneers
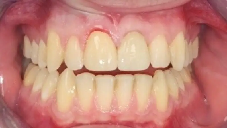
before

after

Crowns
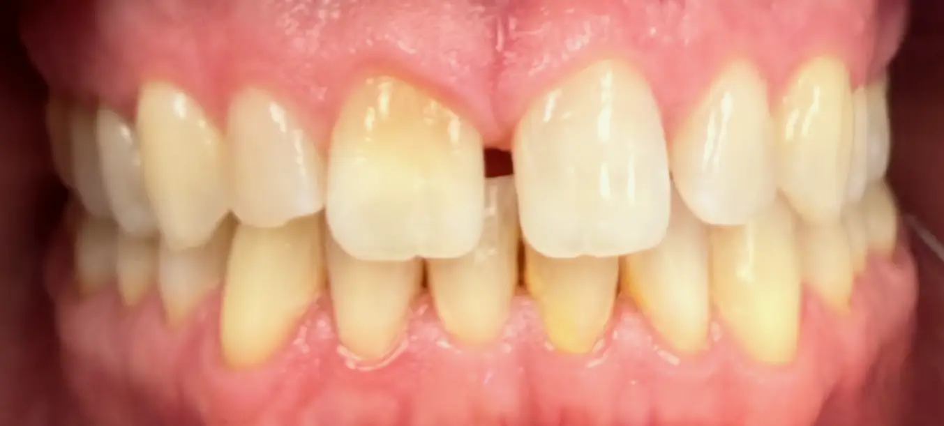
before

after

Bonding
before

after

Bonding
before

after

Crown
before
.webp)
after

Veneers
before

after

Bonding
before

after

Veneers
before

after

Veneers
before

after

Hybrids
before

after

Hybrid
before

after

Crowns
before
.webp)
after
.webp)
Crowns
before

after

Crown and Implant
